Elevate Smiles Dental
Tampa's Top-Rated Dental PracticeTampa's Top-Rated Dentist

Your Dream Smile
Starts Right Here

Expert dental care in the heart of Tampa, FL. General dentistry, implants, Invisalign & cosmetic treatments — all under one roof. Se habla español.

5.0
Google
Rating
221
5-Star
Reviews
Years of
Experience
Se Habla
Español
Dr. Stephanie Mazariegos – Dentist in Tampa FL
ADA Member
AGD Member
Invisalign Provider
Regenerative Dentistry
Most PPOs Accepted
Cherry · CareCredit · FSA/HSA
Same-Day Emergencies

Membership Plan

No insurance? No problem. Get all your annual dental needs covered for less than a gym membership.

Save up to 20%

Insurance Accepted

We accept Aetna, Cigna, Humana & most PPO plans. We handle the paperwork so you don't have to.

Most PPOs

Flexible Financing

Cherry & CareCredit financing available. Start your treatment today with 0% APR options.

0% APR Available

Botox & Facial Aesthetics

Smooth fine lines and relieve jaw tension with professional Botox treatments right in our dental office.

Now Available

Regenerative Dentistry

Advanced PRF and biomaterial therapies that harness your body's own healing power for faster, natural recovery.

Cutting-Edge Care

Se Habla Español

Nos enorgullece servir a la comunidad hispanohablante de Tampa con atención dental de calidad.

Bilingual Team
Dr. Stephanie Mazariegos – Dentist in Tampa FL
10+ Years Serving
Tampa

Dr. Stephanie Mazariegos,
DMD

Tampa's trusted dental expert dedicated to combining artistry with advanced dental science. Dr. Mazariegos and her team create a warm, welcoming environment where every patient feels at home.

As seen on Bloom Tampa Bay, Dr. Mazariegos brings both clinical expertise and a genuine passion for patient education to every appointment. With a bilingual team proudly serving Tampa's diverse community, you'll always feel understood.

DMD Degree ADA Member AGD Member Invisalign Certified As Seen on Bloom Tampa Bay
Learn More About Us

What Tampa Patients
Are Saying

★★★★★
4.9 (221 Google Reviews)
"

I had a great experience as a new patient at Elevate Smiles! Kimberly G., my hygienist, was very kind and took the time to listen to my concerns and explain everything clearly. Dr. Mazariegos was welcoming and offered helpful options for my dental care. Highly recommend for anyone in the Tampa Bay area!

S
Sydney H.
Google Review
"

I had a wonderful experience with Dr. Mazariegos and her staff. The office is very clean, modern, and equipped with the latest technology. Everyone is friendly, welcoming, and makes you feel comfortable from the moment you walk in. Dr. Mazariegos takes her time to explain all of your treatment options. I highly recommend!

S
Sherrie C.
Google Review
"

This is truly the best dentist I have ever been to. The staff was so kind and check in was incredibly easy. Such a clean and beautiful space that took my previous dentist anxiety away immediately. Kimberly was an amazing hygienist, so thorough and talked me through each step. I am so excited to go back!

S
Sophia L.
Google Review

Dental Care That Fits
Your Budget

We believe everyone deserves a healthy smile. That's why we offer an in-house membership plan for patients without insurance, plus flexible financing options through trusted partners.

Our membership plan costs less than a gym membership and covers all your annual dental needs. No waiting periods. No claim denials. Just great dental care.

Financing Partners

Ask About Membership

Elevate Membership

$365/year

No insurance needed · No deductibles

2 Professional Cleanings/Year
Comprehensive Annual Exam
Full-Mouth X-Rays
Fluoride Treatment
Emergency Exam (when needed)
Up to 40% Savings on Treatments
Get Started Today

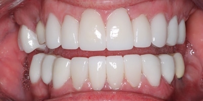
Smile Transformations
by Dr. Mazariegos

Every smile tells a story. These are real patients who trusted us with theirs.

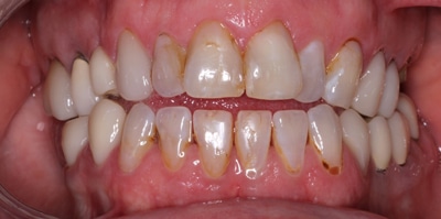
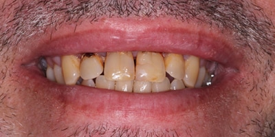
Before – Full Mouth Rehabilitation
Before
After – Full Mouth Rehabilitation
After

Full Mouth Rehabilitation / Smile Makeover

Before – Full Mouth Rehabilitation
Before
After – Full Mouth Rehabilitation
After

Full Mouth Rehabilitation / Smile Makeover

Before – Full Mouth Rehabilitation
Before
After – Full Mouth Rehabilitation
After

Full Mouth Rehabilitation / Smile Makeover

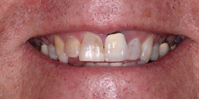
Before – Crowns / Smile Makeover
Before
After – Crowns / Smile Makeover
After

Crowns / Smile Makeover

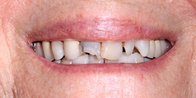
Before – Crowns / Smile Makeover
Before
After – Crowns / Smile Makeover
After

Crowns / Smile Makeover

Before – Gingivectomy
Before
After – Gingivectomy
After

Gingivectomy

Ready to write your own transformation story?

Book a Free Consultation

Dental Savings
Calculator

Not sure if dental insurance or our membership plan saves you more? Use our interactive calculator to estimate your annual dental costs and find the best option for your situation.

Compare insurance vs. membership savings
Estimate monthly payment with financing
See out-of-pocket cost for specific treatments
Instant results — no email required

Calculate Your Savings

Adjust the options below to see your estimated costs

2
$500
Estimated Annual Savings with Membership
$0
$0
Without Plan
$0
With Membership
Your Estimated Out-of-Pocket
$0
$0
Full Price
$0
You Save
$3,000
Estimated Monthly Payment
$0
0 mo
Term
$0
Total Cost

Patient Testimonials

Hear directly from our patients about their experiences at Elevate Smiles Dental.

Common Questions from
Tampa Patients

Yes! We accept most PPO dental insurance plans including Aetna, Cigna, and Humana. We also offer an in-house membership plan for patients without insurance that includes 20% off all treatments. Call us to verify your specific plan.

Absolutely. We partner with Cherry, CareCredit, and HFD to offer flexible financing options including promotional 0% APR periods. Use our calculator above to estimate your monthly payments before your appointment.

¡Sí! At Elevate Smiles Dental, se habla español. Dr. Mazariegos and her bilingual team are proud to serve Tampa's Spanish-speaking community. You can call us or schedule in English or Spanish.

We are located at 206 N Howard Ave, Suite 2, Tampa FL 33606, in the heart of the Hyde Park neighborhood. We serve patients from South Tampa, Westshore, Palma Ceia, Davis Islands, and surrounding areas. Convenient parking is available on site.

Yes, we offer same-day emergency dental appointments for Tampa patients whenever possible. If you're experiencing dental pain, a broken tooth, or a lost filling, call us immediately at (813) 308-9489 and we'll do our best to see you the same day.

We Work With Your Insurance

Book Your Free Consultation
in Tampa Today

Join thousands of Tampa families who trust Elevate Smiles Dental for their oral health. New patients welcome — se habla español.

We'd Love to Hear
From You

Whether it's a question, concern, or you're ready to book — we're here for you. Se habla español.

We're Listening.
Really.

Every message is read by our team personally. We typically respond within a few hours during business hours.

(813) 308-9489
Mon–Thu 8am–5pm · Fri 8am–2pm
206 N Howard Ave, Suite 2
Tampa, FL 33606 · Hyde Park
Se Habla Español
Bilingual team, always here for you
1
What's up?
2
About you
3
Best time

You're all set!

Thank you for reaching out. A member of our team will be in touch with you shortly — usually within a few hours.

In the meantime, feel free to call us at (813) 308-9489

What brings you in?

Select everything that applies — no judgment, we've seen it all.

New Patient Visit
Cleaning & Checkup
Cosmetic / Smile Makeover
I'm in Pain / Emergency
Invisalign / Braces
Pricing / Insurance Question

Nice to meet you.

Just the basics — we won't spam you, ever.

When works for you?

We'll do our best to match your schedule.

Preferred Day

Monday
Tuesday
Wednesday
Thursday
Friday
Any Day

Preferred Time

Morning
Afternoon
Any Time